Fig.1: i “sembrano simili”
Fig.2: vari tipi di look-alikes
Fig.3: condizioni nelle quali un agoaspirato tiroideo può dimostrare cellule giganti
Fig.4: megacariocita( mielopoiesi eterotopica,metaplasia mieloide in metaplasia osteoide in gozzo,aspirazione di midollo emopoietico da cartilagine laringea)
Fig.5: cellule giganti da granuloma da corpo estraneo (post-operatorio)
Fig.6: tiroidite gigantocellulare di De Quervain
Fig.7:cellule giganti in tiroidite di Hashimoto
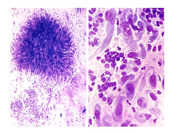
Fig.8: cellule giganti in carcinoma papillare
Fig.9: carcinoma anaplastico,variante a cellule giganti
Fig.10: carcinoma anaplastico con cellule giganti osteoclastosimili
Fig.11: pseudocellula gigante: macrofollicolo estruso in toto da struma nodulare colloido-cistico
Fig.12: atipie benigne
Fig.13: condizioni nelle quali un agoaspirato tiroideo dimostra marcate atipie in lesioni benigne; talora lesioni non atipiche sono invece maligne (vedi fig.14)
Fig.14: citologia apparentemente non maligna,sicuramente non atipica: trattasi di lesione maligna (metastasi sternale di carcinoma follicolare della tiroide)
Fig.15: caratteristiche dell’adenoma atipico,istologia e citologia: gli elementi marcatamente atipici sono isolati,con disposizione casuale (vedi figura 16 e 17)
Fig.16
Fig.17
Fig.18: il gozzo disormonogenetico dimostra atipie focali citologicamente simili a quelle dell’ adenoma atipico (vedi figura 19)
Fig.19
Fig.20: atipie interpretate erroneamente come maligne in soggetto precedentemente trattato con J¹³¹
Fig.21: marcate atipie focali in adenoma paratiroideo (vedi figura 22)
Fig.22
Fig.23: varie condizioni nelle quali un agoaspirato tiroideo può dimostrare una ricca componente linfoide
Fig.24: struma colloide con nodulo linfatico secondario dimostrante centro chiaro
Fig.25: tiroidite di Hashimoto
Fig.26: Hashimototossicosi. Il quadro,che sostanzia un ipertiroidismo transitorio,sembra corrispondere all’ avvenuta citoaspirazione di un linfonodo “reattivo”
Fig.27: varianti di carcinoma papillare: nella tabella è evidenziato il tipo “Warthin-like”(vedi fig.28 e fig.29,nelle quali si osserva un fondo linfoide con cellule oncocitarie a disposizione papillare e a nuclei chiari )
Fig.28
Fig.29
Fig.30: monomorfismo linfoide in linfoma non-Hodgkin della tiroide (correlazione cito-istologica)
Fig.31: residui tireocitari in linfoma centrocitico della tiroide
Fig.32: localizzazione tiroidea di linfoma di Hodgkin (evidenti cellule di Sternberg)
Fig.33: varie condizioni nelle quali un agoaspirato tiroideo può dimostrare una ricca componente papillare
Fig.34: morbo di Graves: istologia,citologia; le cellule fiammeggianti (“flare flames”, inserto a destra della fig.35) sono caratteristiche ma non specifiche di una condizione di ipertiroidismo
Fig.35
Fig.36: valutazione estemporanea dell’ adeguatezza del campionamento: lesione tiroidea corrispondente a carcinoma papillare (a sinistra: osservazione “in black and white”;a destra colorazione “rapida”,Giemsa indiluito)
Fig.37: aspirazione di lesione con pregressa emorragia (fluido marrone brunastro)
Fig.38: talora nel sedimento di detto fluido si osservano strutture necrotiche di carcinoma papillare
Fig.39: carcinoma papillare,aspetti “quasi istologici” di materiale ben conservato
Fig.40: citoincluso di agoaspirato di carcinoma papillare (i frustoli di cospicue dimensioni vanno preferibilmente avviati alla processazione istologica anziché a quella citologica per striscio.
Fig.41: gli occhi ”svuotati” dell’orfanella Annie hanno la stessa morfologia dei nuclei delle cellule di un carcinoma papillare (da cui la definizione di “nuclei tipo orfanella”,Rosai)
Fig.42: una neoplasia papillare può rappresentare una variante di un carcinoma midollare
Fig.43: metastasi di carcinoma papillare mucosecernente alla tiroide
Fig.44: varie condizioni nelle quali un agoaspirato tiroideo può dimostrare una ricca componente in cellule fusate
Fig.45: “cellule del gozzo”
Fig.46: SETTLE; nel campionamento citologico manca la componente epiteliale
Fig.47: FNAB di schwannoma tiroideo
Fig.48: variante a cellule fusate di un carcinoma midollare
Fig.49: a sinistra le cellule fusate dimostrano immuno-positività per la calcitonina; a destra gli elementi ovoidali,con granuli rossastri sono quelli più classicamente descritti nel carcinoma midollare,ma non i più frequenti a repertarsi
Fig.50: variante a cellule fusate di carcinoma anaplastico della tiroide
Fig.51: lo pseudoincluso,un tempo ritenuto diagnostico del carcinoma papillare della tiroide,è stato successivamente osservato anche in altre lesioni tiroidee (ed extratiroidee)
Fig.52: lesione cistica datante da 25 anni; nel sedimento del liquido aspirato con ago sottile furono repertate strutture papillari con pseudoinclusi e corpi psammomatosi,coerenti con forma regressivo-cistica di carcinoma papillare della tiroide
Fig.53: in alto,pseudoinclusi; in basso,pseudoinclusi e grooves. Questi ultimi sono agevolmente identificabili in preparati colorati secondo Papanicolaou,di difficile rilievo negli strisci colorati secondo MGG
Fig.54: pseudoinclusi multipli (aspetto “bubble”) caratterizzano il carcinoma papillare,variante a cellule alte (tall cell) (da LiVolsi); nella fig.55 si osservi la correlazione cito-istologica di detto istotipo
Fig.55
Fig.56: pseudoinclusi in carcinoma midollare
Fig.57: pseudoinclusi in adenoma trabecolare ( o embrionale)
Fig.58: pseudoinclusi in adenoma trabecolare ialinizzante (vedi figura 59)
Fig.59
Fig.60: sezioni istologiche di adenoma trabecolare ialinizzante,immunocolorate con MIB-1:la positività è marginale–citoplasmatica,a differenza di quella del carcinoma papillare che è caratteristicamente nucleare (cortesia del prof. Carney)
Fig.61: varie condizioni nelle quali un agoaspirato tiroideo può dimostrare una ricca componente oncocitaria
Fig.62: variante oncocitaria di carcinoma papillare
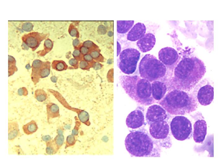
Fig.63: variante oncocitaria di carcinoma midollare (amiloide in fig.64)
Fig.64
Fig.65: amiloide. Rosso congo e osservazione in luce polarizzata,dimostrante la caratteristica birifrangenza verde-mela; in fig.65:carcinoma midollare,in fig.66:gozzo amiloide in soggetto di 25 anni affetto da mucoviscidosi,con suppurazioni croniche bronchiectasiche
Fig.66
Fig.67: adenoma oncocitario paratiroideo
Fig:68: aspetti pseudocilindromatosi della colloide (ad “uovo fritto” in istologia) (vedi figura 69)
Fig.69
Fig:70: nelle “neoformazioni follicolari” può osservarsi un continuum tra quadri dimostranti follicoli ben strutturati e distinti tra loro e quadri caratterizzati da un tappeto di elementi tireocitari con aspetti follicolari abortivi,monomorfismo e presso che totalità di nucleoli prominenti; questi ultimi aspetti (fig.71 e fig.72) debbono essere controllati istologicamente,poiché,in elevata percentuale,corrispondono a carcinomi ben differenziati
Fig:71
Fig:72
Fig.73: in casi di neoformazioni follicolari nei quali sia proposto un controllo dopo terapia TSH-soppressiva,è importante conoscere il dato scintigrafico,poiché un nodo ipercaptante dovrà essere escluso da detto trattamento .
Fig.74: criteri istologici classici di malignità di una lesione follicolare della tiroide. A sinistra,la capsula è non solo infiltrata ma anche superata ed interrotta; a destra,i trombi neoplastici appaiono “endotelizzati”
Fig.75: linfonodi metastatici di un carcinoma papillare,variante follicolare; a sinistra il quadro ripetitivo è esclusivamente papillare,a destra esclusivamente follicolare
Fig.76: modificazioni indotte da una FNAB tiroidea possono essere causa di diagnosi istologiche false positive,se l’Anatomopatologo non sia a conoscenza che il nodulo asportato è stato precedentemente oggetto di una FNAB (vedi anche fig.77,fig.78,fig.79)
Fig.77
Fig:78
Fig:79
Fig.80: FNAB di nodulo tiroideo: diagnosi di neoformazione follicolare,variante a cellule ossifile
Fig.81: quadro istologico del pezzo operatorio; difficoltà iniziali dell’Anatomopatologo a reperire la lesione infartuale citoaspirata (ombre di oncociti)
Fig.82: le lesioni oncocitarie sono singolarmente “fragili”: quadro di un primo agoaspirato di lesione ossifila con cellule focalmente necrotiche
Fig:83: cellule endoteliali iperplastiche atipiche,situate intorno al tragitto dell’ago (nella capsula e nella lesione nodulare tiroidea); tali elementi possono essere causa di un referto falso positivo
Fig.84: quadro simile ad un tumore di Masson (vedi figura precedente)
Fig.85: marcate dismetrie ed atipie endoteliali in rapporto al tragitto dell’ago sottile (cortesia del dott. U.Simi)
Fig.86: criteri di diagnosi differenziale tra infiltrazione capsulare neoplastica e “interruzione” capsulare dovuta al passaggio dell’ ago
Fig.87: fine della presentazione