Fig.1: ricordo dell’Anno Accademico 2002-2003, Scuola di Specialità in Anatomia Patologica, lezione di Citodiagnostica, Università di Parma
Fig.2: dubbi sull’opportunita di eseguire un agoaspirato linfoghiandolare
Fig.3: domanda frequentemente posta (specie in passato)
Fig.4: risposta alla precedente domanda
Fig.5: accuratezza diagnostica di una FNAB
Fig.6: il ruolo trasformativo dell’ impostazione chirurgica legato alla pratica della FNAB
Fig.7: sensibilità e specificità
Fig.8: una lesione considerata clinicamente quale linfoadenopatia può corrispondere ad una linfoadenopatia oppure ad una non-linfoadenopatia (“would be lymphomas”)
Fig.9: natura dell’adenopatia e indicazione all’ exeresi o alla non exeresi della stessa
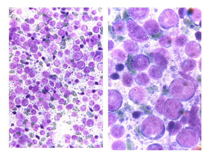
Fig.10: criteri di diagnosi differenziale citologica tra linfoma e linfonodo reattivo (monomorfismo, polimorfismo)
Fig.11: i “lymphoglandular bodies” rappresentano il marker linfoide di una lesione (diagnosi differenziale tra linfoma, carcinoma indifferenziato, melanoma acromico)
Fig.12: polimorfismo
Fig.13: monomorfismo
Fig.14: dimorfismo (vedasi anche alle figg.15, 16, 17)
Fig.15:
Fig.16:
Fig.17:
Fig.18: diagnosi differenziale controversa
Fig.19: comportamento clinico a fronte di una diagnosi di lesione non maligna e, rispettivamente, di (possibile) forma linfoproliferativa primitiva
Fig.20: campionamento linfoghiandolare senza aspirazione
Fig.21: campionamento linfoghiandolare con butterfly needle (vedasi anche alle figg.22, 23, 24)
Fig.22:
Fig.23:
Fig.24:
Fig.25: “butterfly needle” (caricatura di Ravetto per Boccato)
Fig.26: campionamento di linfonodo del bacino, evidenziato con tecnica linfografica (Ospedale di San Donà di Piave, 1979);nell’ inserto cellule lipofagiche coaspirate
Fig.27: massa mediastinica corrispondente a linfoma di Hodgkin
Fig.28: frustolo di linfoadenopatia mediastinica, ottenuto con tru-cut, suddiviso in più parti per un contestuale esame citologico (striscio) e istologico; si procede preliminarmente con la manovra di striscio e, successivamente, alla raccolta dei frammenti, che verranno inclusi in paraffina
Fig.29: carrello in sala radiologica, per la valutazione rapida della adeguatezza del campionamento
Fig.30: lesioni erroneamente ritenute clinicamente corrispondenti a linfoadenopatie (would be lymphomas, vedi fig.31: Warthin bilaterale)
Fig.31:
Fig.32: tumefazione angolomandibolare destra, ritenuta una linfoadenopatia: radiograficamente fu evidenziata una lesione litica corrispondente a granuloma eosinofilo dell’ osso; (vedasi fig.33, citologia, e fig.34, istologia, su materiale da curettage)
Fig.33:
Fig.34:
Fig.35: istiocitosi X ( per evidenziare la caratteristica solcatura nucleare simile a quella degli elementi istiocitari di fig.33)
Fig.36:
Fig.37: cisti epidermoidi simulanti clinicamente una linfoadenopatia (vedasi anche figg. 38, 39, 40, 41; quadri del tipo di quello della fig.42 debbono far porre una diagnosi differenziale con una iniziale cancerizzazione della lesione cistica, e rappresentano pertanto lesioni per le quali sussiste indicazione al controllo istologico ).
Fig.38:
Fig.39:
Fig.40:
Fig.41:
Fig.42:
Fig.43: lesione zigomatica ritenuta corrispondente a linfoadenopatia: nel preparato da agoaspirazione, osservato “in bianco e nero”, é documentata un’ immagine di Demodex folliculorum, artropodo talora albergante nei follicoli piliferi e responsabile di un proceso flogistico
Fig.44: presunta linfoadenopatia laterocervicale in neonato con immaturità grave: frammenti di tessuto muscolare striato coaspirato, cellule lievitiformi di Candida sp. presso che in “coltura pura” (vedasi anche fig.45)
Fig.45:
Fig.46: presunta linfoadenopatia citologicamente e istologicamente corrispondente a mastocitoma ; in fig.47 analoga lesione citoaspirata in un cane
Fig.47:
Fig.48: presunta linfoadenopatia (p.l.) ascellare, corrispondente a tessuto mammario ectopico
Fig.49: p.l. corrispondente ad actinomicosi
Fig.50: p.l. corrispondente ad adenoma sebaceo
Fig.51: p.l. corrispondente ad endometriosi (citologia e istologia)
Fig.52: p.l. corrispondente a schwannoma (vedasi anche figg.53, 54, 55, 56; in fig.54, l’ inserto di destra, simulante uno schwannoma, corrisponde ad un tubercolo epitelioide; in fig.55, schwannoma “ancient”)
Fig.53:
Fig.54:
Fig.55:
Fig.56:
Fig.57: p.l.corrispondente a un pilomatrixoma (epitelioma calcifico di Malherbe)(clinica e macroscopia della lesione) (vedasi anche a figg.58, 59, 60)
Fig.58: cellule basaloidi e cellule giganti plurinucleate
Fig.59: cellule mummificate
Fig.60: cellule giganti e cellule mummificate
Fig.61: mioblastoma mammario (p.l.intrammamaria)
Fig.62: focolaio di liponecrosi
Fig.63: miosite ossificante (p.l.epitrocleare) (vedasi anche fig.64)
Fig.64:
Fig.65: tumore del seno carotideo (citologia, istologia ) (p.l.laterocervicale)
Fig.66: p.l.laterocervicale in neonato: frammenti di muscolo sternocleidomastoideo da trauma da forcipe (vedasi anche fig.67)
Fig.67:
Fig.68: ibernoma
Fig.69: p.l.laterocervicale: metastasi di carcinoma midollaredella tiroide (carcinoid-like). In fig.70, nell’ inserto di destra, le cellule neoplastiche linfocitosimili dimostrano positività immunocitochimica per la calcitonina
Fig.70:
Fig.71: presunta massa parotidea; metastasi a linfonodo intraparotideo di melanoma maligno della cute del collo
Fig.72: patologia dei linfonodi intra- e para-parotidei (vedasi anche fig.73)
Fig.73:
Fig.74: campionamento composito: da sinistra a destra: tubercolo epitelioide necrotizzante, cellule gigante tipo Langhans, metastasi di carcinoma indifferenziato del tipo del rinofaringe (colonizzazione di carcinoma in linfoadenopatia tubercolare);(vedasi anche fig.75)
Fig.75:
Fig.76: istologia della lesione di cui a figg. 74-75
Fig.77: polimorfismo linfoide, linfonodo reattivo(vedasi anche fig. 78, inserto di sinistra: polimorfismo in “black and white”);(vedasi anche figg. 79, 80, 81, 82)
Fig.78:
Fig.79:
Fig.80:
Fig.81:
Fig.82:
Fig.83: polimorfismo linfoide e presenza di macrofagi inglobanti corpi tingibili; questi ultimi elementi abitualmente sono testimonianza della benignità di una linfoadenopatia ( un’ eccezione è rappresentata da fig.84, nella quale, in un tumore di Burkitt, sono presenti macrofagi del tipo di quelli della figura 83)
Fig.84:
Fig.85: quadro di polimorfismo linfoide, coerente con linfonodo reattivo; non regressione della linfoadenopatia dopo un periodo di circa sei mesi dal primo agoaspirato; si procedette ad exeresi della lesione
Fig.86: quadro istologico della linfoadenopatia di cui a figura precedente; diagnosi di mononucleosi infettiva cronica (cortesia del prof. F.Rilke)
Fig.87: leishmaniosi
Fig.88: istologia di linfonodo iperplastico-reattivo (iperplasia centrofollicolare)
Fig.89: istologia di linfoadenopatia in soggetto con AIDS: centri chiari a margini irregolari
Fig.90: istologia di linfoma non-Hodgkin, variante nodulare
Fig.91: piccoli tubercoli non necrotizzanti (linfoadenite di Piringer-Kuchinka)
Fig.92: sarcoidosi, tubercoli epitelioidei confluenti, non necrotizzanti (vedasi anche fig.93)
Fig.93:
Fig.94: linfoadenite luetica
Fig.95: linfoadenite suppurativa; sovente una linfoadenite tubercolare è circondata da un mantello di granulociti neutrofili; ne consegue che, in questi casi, deve programmarsi un agoaspirato di controllo, dopo un periodo di trattamento antiflogistico; un secondo campionamento evidenzierà un quadro di linfoadenite granulomatoso-necrotizznte, gigantocellulare
Fig.96: tubercoli necrotizzanti (vedasi anche figg.97, 98, 99, 100, 101)
Fig.97:
Fig.98:
Fig.99:
Fig.100:
Fig.101:
Fig.102: micobatteri alcol-acidoresistenti in FNAB di linfoadenite tubercolare
Fig.103: nell’ inserto di destra, micobatteri fluorescenti all’ auramina (vedasi anche fig.104; nell’inserto di destra striscio da un’ ansata di patina micobatterica)
Fig.104:
Fig.105: quadri citologici di forme linfoproliferative primitive (vedasi in figg.106-118: monomorfismo in lesioni linfomatose di vario grado)
Fig.106:
Fig.107:
Fig.108:
Fig.109:
Fig.110:
Fig.111:
Fig.112:
Fig.113:
Fig.114:
Fig.115:
Fig.116:
Fig.117:
Fig.118:
Fig.119: sezione istologica di linfoma centroblastico
Fig.120: linfoma di Burkitt (vedasi anche figg.121, 122)
Fig.121:
Fig.122:
Fig.123: forma linfoproliferativa non-Hodgkin di alto grado (vedasi anche figg.124, 125; nell’ inserto di destra di fig.125, quadro di colonizzazione sierosa del linfoma)
Fig.124:
Fig.125:
Fig.126: possibile linfoma immunoblastico
Fig.127: prelievo TAC-guidato di linfoma di Hodgkin a localizzazione mediastinica; in figg.128, 129, 130, differenti aspetti citologici di linfoma di Hodgkin
Fig.128:
Fig.129:
Fig.130:
Fig.131: linfoma di Hodgkin e lesione granulomatosa tubercolare nello stesso linfonodo; in figg.132-138, differenti aspetti di cellule di Sternberg
Fig.132:
Fig.133:
Fig.134:
Fig.135:
Fig.136:
Fig.137:
Fig.138:
Fig.139:
Fig.140: linfoma di Hodgkin e linfoma non-Hodgkin B, a grandi cellule (vedasi anche a figg.141, 142; in fig.143 linfoma di Hodgkin e linfoma non-Hodgkin, nodulare)
Fig.141:
Fig.142:
Fig.143:
Fig.144: metastasi linfoghiandolare di adenocarcinoma ( cellule neoplastiche nei seni linfatici)
Fig.145: immunoistochimica di metastasi linfoghiandolare di adenocarcinoma; EMA (antigene epiteliale di membrana) e LC (antigene leucocitario comune)
Fig.146: metastasi linfoghiandolare di adenocarcinoma ovarico con corpi psammomatosi (vedasi anche fig.147)
Fig.147:
Fig.148: metastasi linfoghiandolare di adenocarcinoma papillare
Fig.149: metastasi linfoghiandolare di melanoma
Fig.150: metastasi linfoghiandolare di carcinoma indifferenziato del tipo del rinofaringe (vedasi anche fig.151)
Fig.151:
Fig.152: linfoma immunoblastico (si noti la somiglianza morfologica con l’ inserto di destra di fig.151)
Fig.153: metastasi linfoghiandolare di carcinoma tiroideo (il solo reperto citoaspirato è costituito da colloide)
Fig.154: metastasi “liquefatta” di carcinoma squamoso
Fig.155: metastasi di carcinoma squamoso in “black and white”: voluminoso elemento “a girino”
Fig.156: metastasi di carcinoma squamoso (vedasi anche figg.157-163: differenti aspetti di metastasi linfoghiandolare di carcinoma squamoso, a vario grado di differenziazione)
Fig.157:
Fig.158:
Fig.159:
Fig.160:
Fig.161:
Fig.162:
Fig.163:
Fig.164: metastasi linfoghiandolare di carcinoma n.a.s. (“black and white” e colorazione rapida)
Fig.165: metastasi linfoghiandolare di neoplasia di non univoca interpretazione
Fig.166: striscio suddiviso in più parti per indagini di citoimmunoistochimica
Fig.167: metastasi di tumore di Wilms
Fig.168: metastasi di carcinoma uroteliale
Fig.169: metastasi di carcinoma renale
Fig.170: talora la patologia linfoghiandolare crea dubbi morfologici sia in campo citologico che istologico: l’ anatomia patologica è un’ arte, ma non ancora una scienza
Fig.171: presunto gozzo colloide, ?? linfoadenopatia; evacuati 1000 mL di fluido torbido-viscoso; sedimento: totalità di piccoli linfociti;diagnosi: linfangioma cistico